Our 5k+ Patient Worldwide
Sairam Dental care simplifies dental health, making it a hassle-free and stress-free experience. Our proficient team and state-of-the-art facilities guarantee that your journey towards a healthy smile is smooth and effortless. Discover a new approach to dental care, where your overall well-being takes precedence.
Our 5k+ Patient Worldwide
Trusted by our happy patient care
" Your Smile is Your Best Asset – Keep It Bright, Healthy, and Confident. "
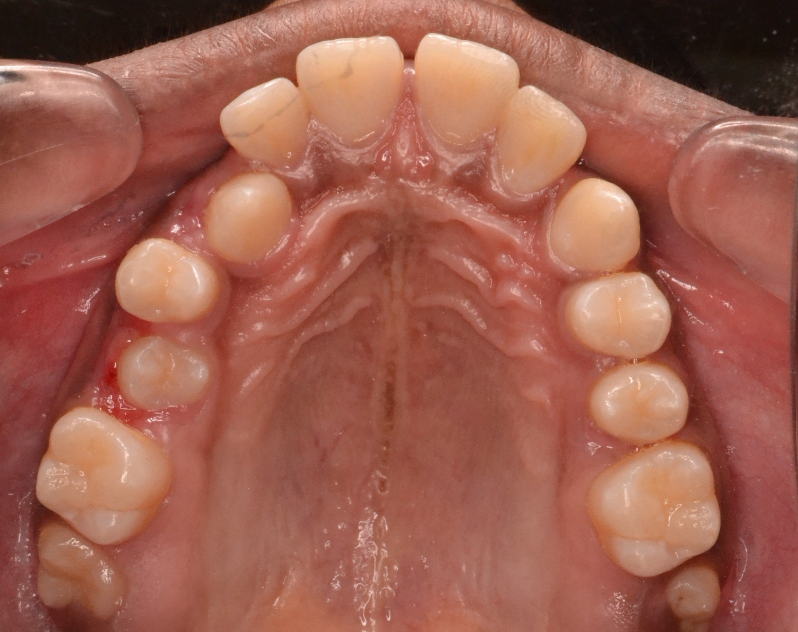
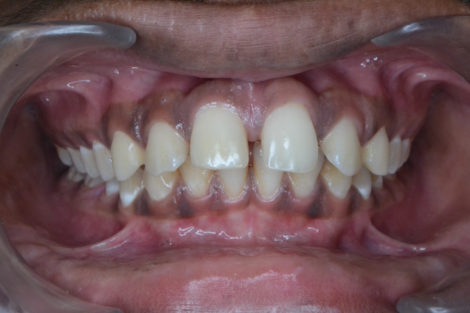
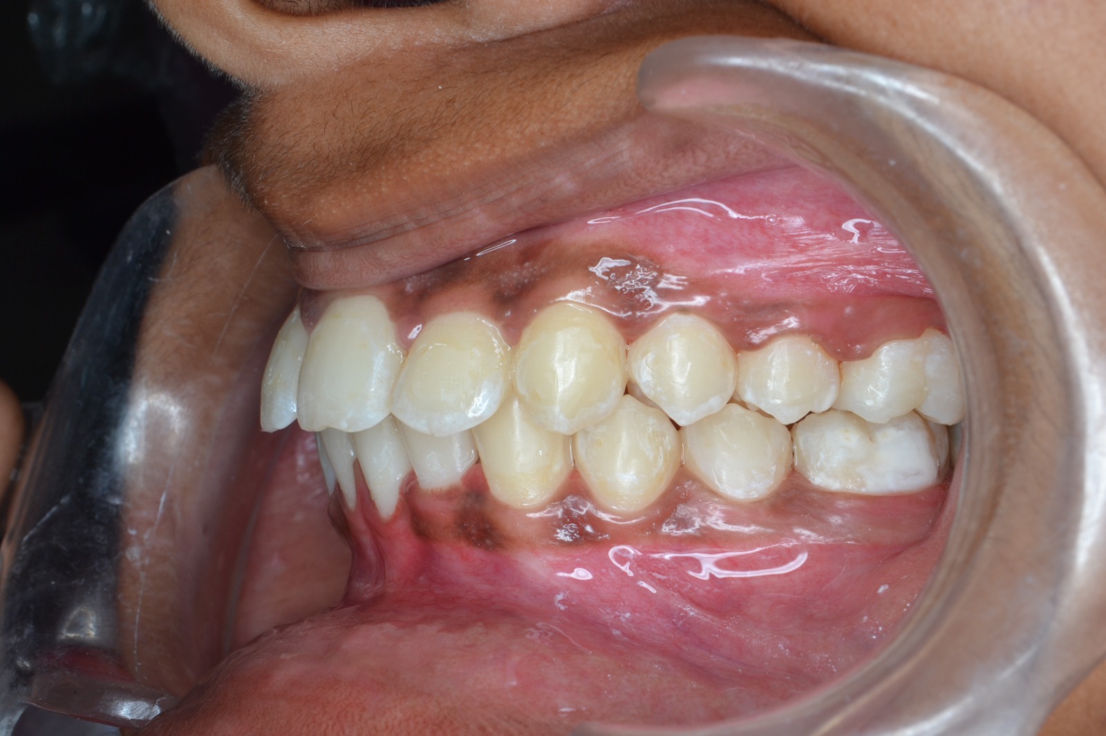
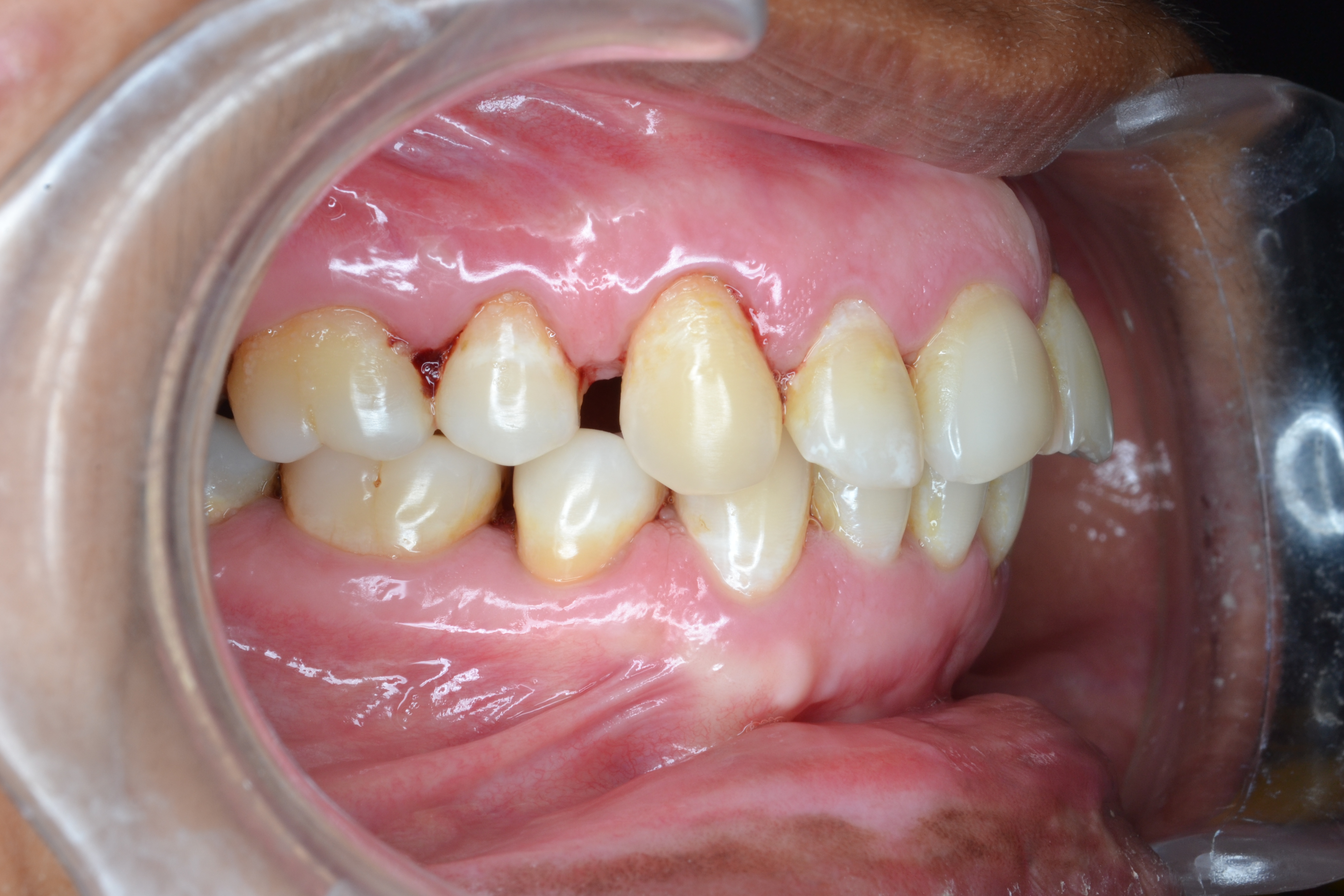
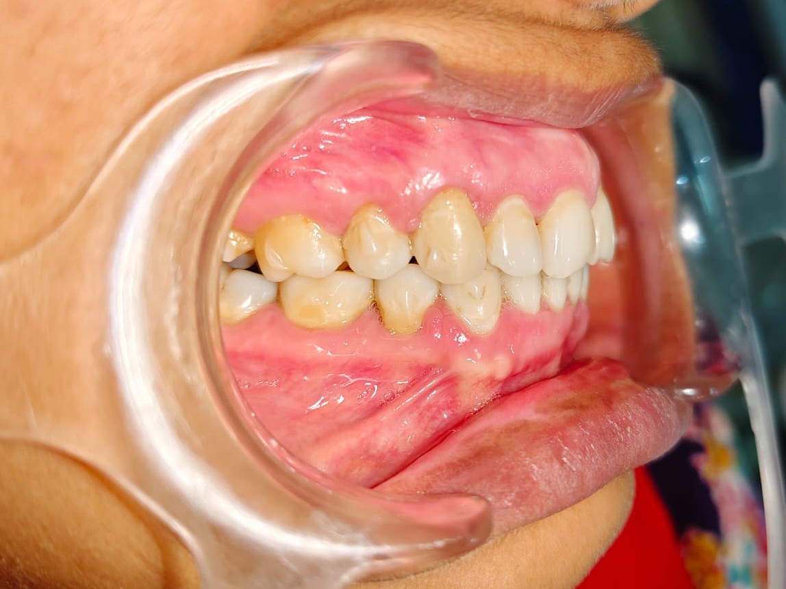
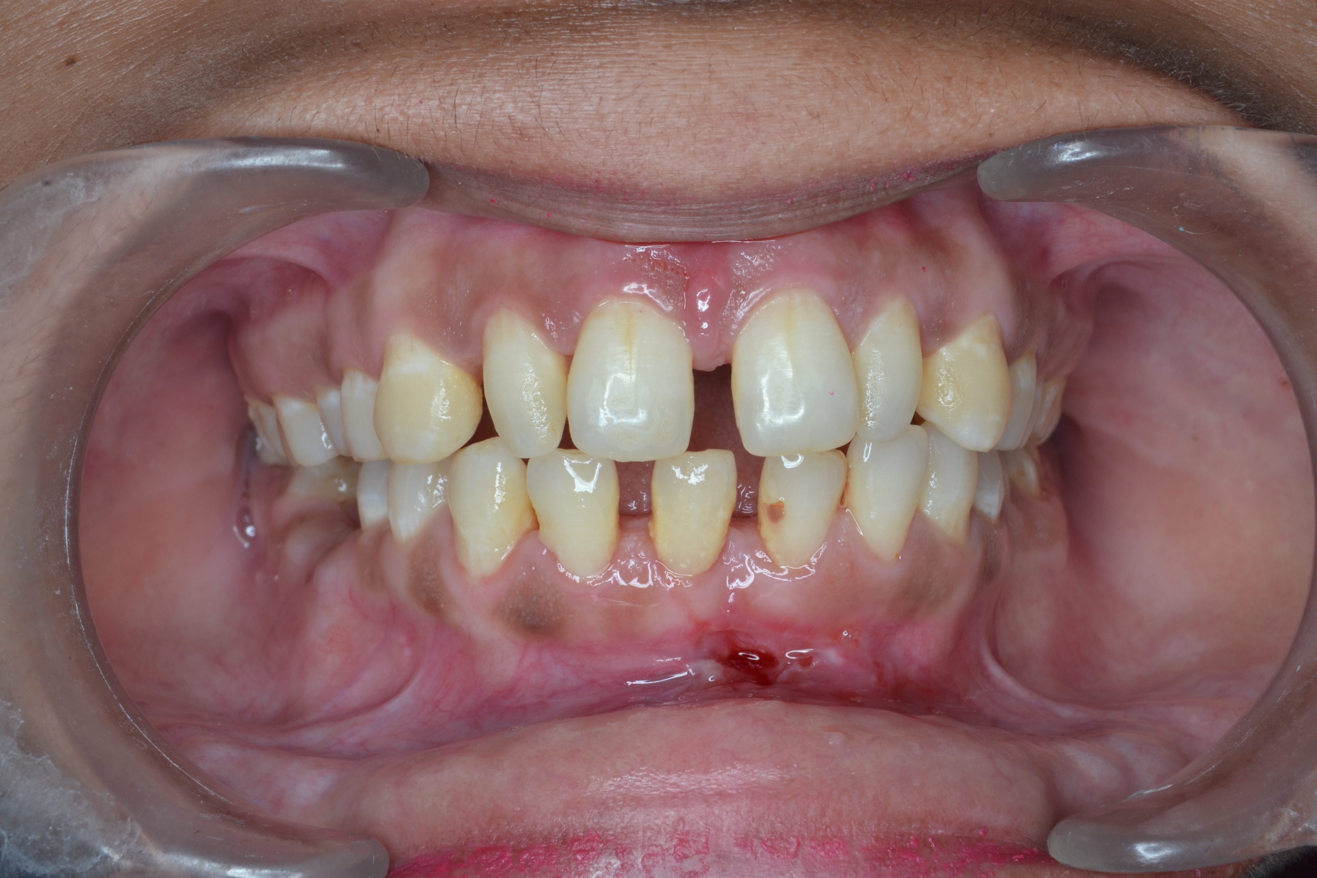
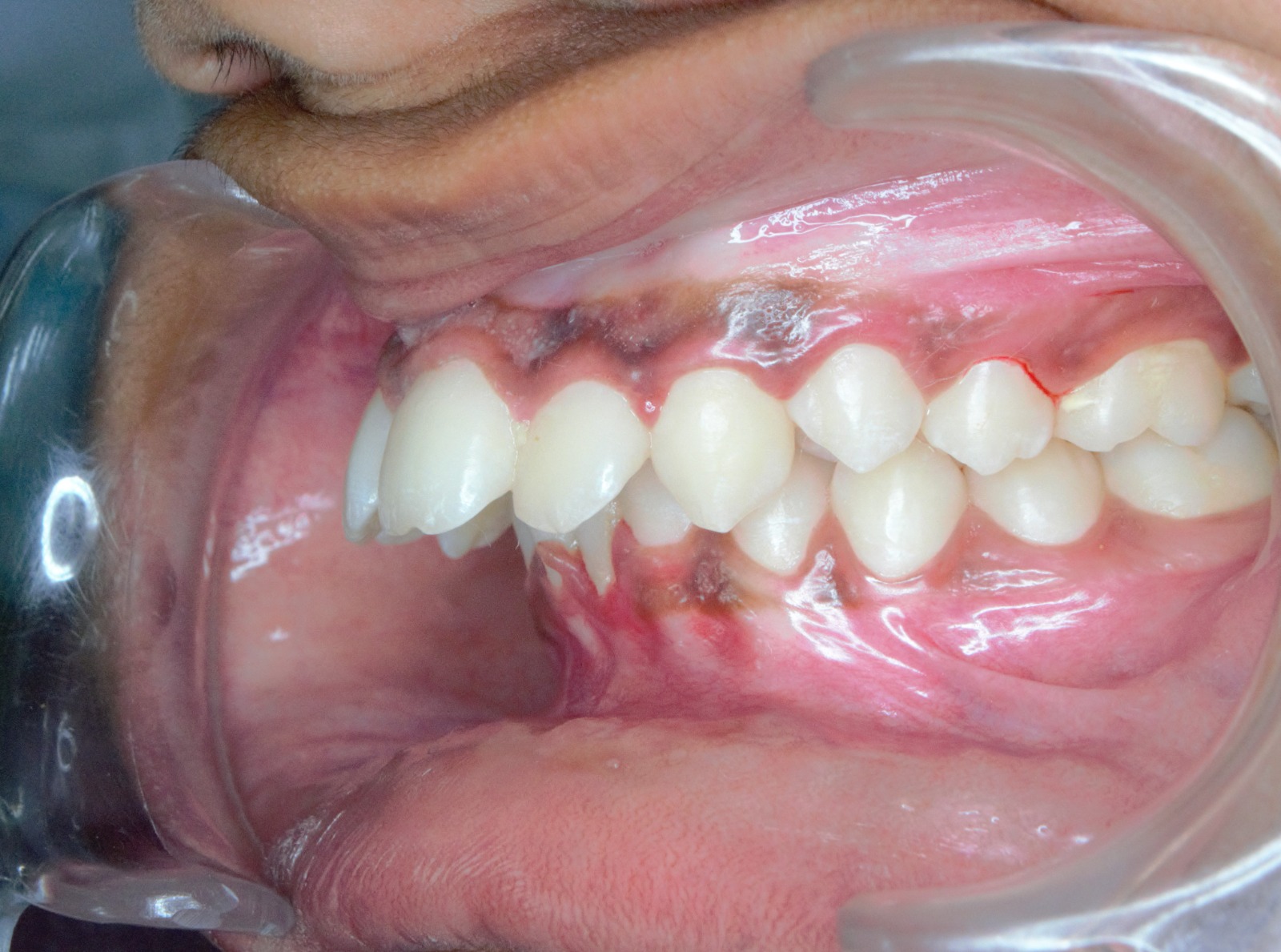
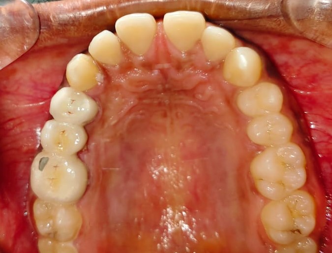
Sairam dental care located in Dharmapuri, with Leading Dentist In Oddapatti, is the Dental Hospital with exclusive root canal, Braces & Invisalign center. Led by renowned Drs Raghuraaman ( Periodontist) and Nivetha Raghuraaman ( Orthodontist) Sairam dental care offers gum treatment with expertise in laser, root canal treatment and digital smile correction with advanced technology aim to focus on aesthetics, comfort and precision. The clinic also specializes in Invisalign treatment, digital smile makeover, laser gum care, dental implants, root canal therapy, extractions and full-mouth rehabilitation blending compassionate care and clinical excellence.
Friendly Environment
Experienced Dental
Personalized Patient care
Pain-Free Dentistry
Our professional, experienced, and passionate dentists make us the best choice for Invisalign treatment in Dharmapuri, providing top-notch dental services.
A dental emergency is an issue involving the teeth & supporting tissues that is of high importance to be treated by the relevant professional.
We treat our patients with latest equipment and modern technology, so that they have a very comfortable and pleasant experience.
Painless dentistry works by not only removing any pain or discomfort from your dental visit, but also by removing your anxiety.
We provide dental treatments at a very affordable price. Anyone can afford our dental care and treatment services.